Dra. Danielle N. Pimenta

Mestre em odontologia dedicada à saúde, bem-estar e autoestima, com atendimento humanizado e foco em resultados harmônicos. 

Rectangle 6

Instituto Dra. Danielle E. N. Pimenta

Um espaço acolhedor, moderno e completo, pensado para oferecer tratamentos de saúde e estética de forma integrada. Nossa missão é unir ciência, tecnologia e cuidado humano para transformar vidas.

blog da dra. Danielle pimenta

Informações atualizadas sobre saúde, estética e bem-estar. Dicas práticas, novidades em tratamentos e conteúdos exclusivos para quem busca se cuidar melhor todos os dias.

blog da dra. Danielle N. Pimenta

Informações atualizadas sobre saúde, estética e bem-estar. Dicas práticas, novidades em tratamentos e conteúdos exclusivos para quem busca se cuidar melhor todos os dias.

Posts

4 Cuidados com a pele que você deve ter para mantê-la bonita 

Você sabe quais são os 4 cuidados essenciais com a pele para que ela fique bonita e saudável? Descubra e comece a adotar agora mesmo!

Envelhecimento da pele: por que acontece e como evitar?

Como você está lidando com os sinais de envelhecimento da pele? Veja por que eles acontecem e quais as melhores práticas para minimizá-los!

Como melhorar a autoestima: 5 dicas para colocar em prática

Você sabe como melhorar a autoestima? Confira 5 dicas que podem ajudar a se enxergar com mais carinho, respeito e autoconfiança!

Harmonização facial dura quanto tempo? Descubra!

Você sabe quanto tempo dura uma harmonização facial? Entenda o que influencia a duração dos procedimentos e tome uma decisão mais consciente!

Como melhorar o contorno facial? 5 Procedimentos indicados! 5 Procedimentos indicados para quem deseja ajustar os contornos faciais

Você sabe como melhorar o contorno do rosto? Conheça 5 procedimentos estéticos que deixam a face mais harmônica e bonita!

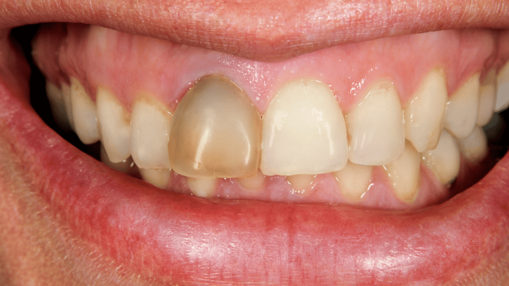
Dente escurecido: quais são os tratamentos possíveis?

O dente escurecido pode afetar seu sorriso e sua saúde bucal. Descubra as causas e os principais tratamentos estéticos disponíveis para esse problema!

Enxerto gengival: 4 casos em que ele é necessário

O enxerto gengival pode ser a solução para seu bem-estar e satisfação estética. Conheça 4 situações em que o procedimento é indicado!

Maquiagem após o botox: entenda por que evitar!

Usar maquiagem após o botox pode comprometer os resultados do seu procedimento estético. Veja o porquê e conheça outros cuidados importantes!

Remoção de ácido hialurônico: é possível reverter o preenchimento facial ou labial?

É possível fazer a remoção do ácido hialurônico em caso de insatisfação com o preenchimento labial ou facial? Descubra a resposta e tire suas dúvidas!